Протезата е термин, използван предимно в областта на медицината на човешкия организъм. Напоследък обаче започва да се използва дори и във ветеринарната медицина, тъй като започват да се изработват протези и за животни. Както повечето медицински термини, и този има древногръцки произход - според историците в Древна Гърция са започнали да се развиват повечето области на човешкото познание и именно по тази причина в научната терминология има толкова много древногръцки корени. Протеза произлиза от представката прос-, която означава добавка, добавям, и корена thitenai - поставям. По този начин се формира глаголът prosthitenai - който има значение на поставям нещо в добавка. От него впоследствие се образува съществителното име prosthesis. Терминът обаче не е достатъчно точен - в действителност протезата не добавя нови функции или способности към човешкия организъм, а възстановява липсващи или увредени части на тялото - като изключим сферата на трансхуманизма, описан по-долу. В съвременната медицинска терминология протеза означава изкуствена функционалноподобна част, която замества лисваща или отстранена от тялото такава поради заболяване. С помощта на механични устройства, свързани с човешките мускули и скелет и управлявани от нервната система на човека, протезите заменят липсващите части от тялото и подпомагат човека да изпълнява моторни функции, необходими за съществуването му. Така загубата от травма или заболяване се преодолява и човешкият индивид се социализира по-лесно и е възможно да изпълнява определени трудови дейности. Протези се поставят и на индивиди, които по рождение имат липсващи части от тялото или те са недоразвити - атрезия, хипоплазия и т.н. В последния случай е необходимо да се допълни недоразвитата част, за да функционира целият организъм по-добре и за да се осигури по-добро качество на живот на болния.
Протезите се класифицират като медицински изделия според директива 93/42, издадена от съответните регулаторни органи на Европейския съюз. В близкото минало терминът протеза се използваше и за различните ортопедични приспособления, които също влизат в контакт с организма на пациента и следователно също представляват медицински изделия; през последните години обаче с цел по-ясното разграничаване се въведе терминът ортеза, който е пароним и донякъде е объркващ, поради което нашият екип сметна за необходимо да даде някои разяснения по темата тук. Терминът също има гръцки произход - ортос означава прав, а thitenai - поставям, което означава че ортеза може да се преведе като нещо, поставящо друго нещо в правилно положение. За разлика от протеза този термин е изключително точен - това е функцията на въпросното приспособление, а различни части от човешкия организъм биват фиксирани както е необходимо. Ортези се прилагат при хора, страдащи от травми или възпаления на ставите, както и след оперативни намеси на горните или долните крайници или на гръбначния стълб. Значително по-рядко се налага употребата им при други заболявания на опорно-двигателния апарат - например тендовагинити и плексити. Ортезата представлява фиксиращо средство, изработено от устойчив материал, което намалява механичното натоварване и предотвратява последващи наранявания по време на движение. Ортези се използват за осигуряване на защита и с цел бързо възстановяване на нарушените функции. Травмите и заболяванията на ставите водят до силна болка и намалена подвижност, които в бъдеще стават причина за допълнителни увреждания - предимно от дистрофичен тип, но също и механични декубитални рани поради продължителното залежаване на пострадалия. Използването на ортези също така намалява негативните последици и ускорява рехабилитацията след операция.
Всички ортези могат да бъдат разделени на групи според степента на фиксиране или областта на приложение. Степента на фиксация е една от най-важните характеристики на ортезата, тъй като успехът на приложеното лечение много пряко зависи от това. Избира се от съответния медицински спецаилист въз основа на състоянието на ставите, тежестта на нараняването и целите на лечението. Към настоящия момент се прилагат ортези с пет възможни степени на силата на фиксация:
лека - меки, еластични продукти, които поддържат пълна свобода на движение, но в същото време имат компресионен ефект върху ставата или крайника. Освен това те поддържат и предпазват от наранявания и повреди съседните анатомични области - както меките тъкани, така и ставите и костите
средна - те се предписват при леки наранявания или ранен стадий на заболяване. Като допълнителен фиксиращ елемент дизайнът им включва специални ленти и/или полутвърди вложки. Те все още позволяват свободно движение, но ставата или крайникът са относително обездвижени
силна - такива ортези са оборудвани с допълнителни твърди вложки за пълно фиксиране. Предписват се за възстановяване след по-тежки наранявания и операции, както и в късните стадии на заболявания, водещи до разрушаване или нестабилност на ставите
пълна - осигуряват пълно обездвижване на увредената област, което е необходимо при много тежки наранявания, рехабилитация след тежки операции и последните стадии на някои заболявания на опорно-двигателния апарат. За да се постигне това, в дизайна на продукта са включени пластмасови и метални елементи. Тези продукти могат да бъдат алтернатива на гипсовата фиксация за осигуряване на пълна имобилизация при фрактури. Използват се и индивидуални ортези, които също се включват в тази друпа - изработват се по поръчка от различни термопластични материали
променлива - понякога ортезата трябва да се носи за доста дълго време и в процеса на лечение трябва да се коригира степента на фиксация. За това са разработени специални продукти с различна степен на фиксация, т.е. лекарят има възможност да коригира ортезата въз основа на показанията на определен етап от възстановяването и не е необходимо пациентът да купува нова ортеза.
Областта на приложение на ортезата е друга характеристика, която не бива да бъде пренебрегвана. Всяка ортеза се изработва след прецизен анализ на анатомичните и физиологичните характеристики на съответната част от тялото. При правилен подбор и спазване на показанията ортезите осигуряват цялата необходима опора на ставите, за които са предназначени. Не е добро решение да се използва наколенка например за обездвижване на лакътната става - в най-добрия случай няма да се получи никакъв ефект, а в най-лошия състоянието на ставата е възможно да се влоши. Поради това преди закупуването на ортеза е необходимо да се осъществи консултация с лекар. Само добре подготвен специалист може да определи коя ортеза е необходима във всеки конкретен клиничен случай. Недостатъчната фиксация може да направи ортезата безполезна, а прекалено силната фиксация може да ограничи подвижността на ставата без реално да има необходимост от това. Материалът трябва да бъде безопасен и хипоалергичен. Ортезата може да бъде изработена от дишащи материали с висока влагоустойчивост и добри топлоотвеждащи свойства. В други случаи пък може да се използват материали, които задържат топлината. Освен това ортезата трябва да се адаптира правилно към съотвената анатомична област - поради което и производителите произвеждат продукти в няколко размера, така че пациентът да има възможност да избере не само правилния модел в зависимост от своя ръст и телосложение. Не е добра идея да се закупуват ортези на сляпо и без съответната проба. В най-добрия случай ефектът от продукт с грешен размер ще бъде изгубен, а в най-лошия към съществуващите проблеми ще се добавят нови. Някои ортези имат и допълнителни характеристики - например така нареченото оскъдно плетене към периферията, което позволява носенето за много по-дълго време без ефекта на турникет. По този начин кръвоснабдяването в околните анатомични области се запазва, няма изтръпвания и трофични язви.
Изключително стабилна ортеза за фиксация на положението на глезена - след изкълчвания и фрактури. Това приспособление осигурява пълна имобилизация на ставата, която е необходима за нормалното протичане на оздравителния процес. Използва се системата велкро - ивици плат със самозалепваща функция, като залепването и разделянето им може да се осъществява многократно без нарушаване на здравината на връзката между тях. Едната ивица е мека, а другата - твърда, с много голям брой шипчета, наподобяващи кукички. Това се прави с цел крайникът да може да се почиства и при наличие на рани върху кожата да може да се извършват хигиенни процедури. Не бива обаче това да се извършва прекалено често, тъй като всяко сваляне и повторно поставяне на ортезата води до нарушаване на фиксацията с последващо разместване на фрактурните фрагменти. При това се разкъсват съединителнотъканните влакна, които започват да се синтезират между тях, и заздравителният процес се забавя изключително много. Поради това много ортопеди и травматолози все още предпочитат да поставят добрите стари гипсови превръзки - болният не може да ги сваля самостоятелно и оздравяването е бързо и безпроблемно.

Различни видове ортези за колянна става
Видовете протези са изключително много, тъй като човешката патология е разнообразна, а и органите и тъканите могат да претърпят различни типове увреждания. Протезите се класифицират в зависимост от мястото на поставяне и степента на увреждане на човешкия организъм. Някои протези се разполагат геометрично извън тялото и са в конакт само с определена повърхност (предимно кожа и лигавици). Това са най-вече протези, заместващи крайници, което е обект на ортопедията, но също и различни ушни и носни възстановявания след резекция на неопластични процеси или като последица от травми. Наричат се ектопротези (понякога затворени протези) и се конструират в зависимост от типа на увреждането и неговия обем; заместват целия крайник или част от него, уши, нос, отделни пръсти, нерядко и очна ябълка. В последния случай класифицирането е трудно, защото по-голямата част от човешкото око е разположена изцяло в орбиталната кухина, а само предната повърхност е в контакт с външната среда. Сложната кинематична функция на ръката и крака се възпроизвежда трудно, дори и със съвременните средства на механиката и електрониката с микропроцесорно управление. Но вече е налице известен напредък - произвеждат се протези, макар и скъпи, които успешно имитират липсващия крайник. За изработката им се използват дърво, метал, кожа, латекс и много различни видове пластмаси.
Съществуват и протези, които се разполагат изцяло във вътрешността на човешкото тяло - ендопротези. Те са изцяло обхванати от друга, витална, собствена тъкан на организма. Наричат се още отворени протези. За крайниците характерни примери са протезите на колянната и тазобедрената става, поставени чрез оперативна интервенция. Ендопротези са освен това сърдечните клапи, различните съдови протези, възстановяванията на хранопровода и много други. Те са доста по-податливи на инфекция в сравнение с нормалните, живи тъкани на организма - поради това всеки грамотен човек следва да уведоми лекуващия го лекар за наличието на подобна ендопротеза при необходимост от каквото и да било лечение по какъвто и да било повод. Особено опасни са инвазивните манипулации (дори и само почистването на зъбен камък) - те предизвикват транзиторна бактериемия. Попадналите в системното кръвообръщение микроорганизми се разнасят бързо и колонизират ендопротезата; това е особено опасно в областта на сърцето и кръвоносните съдове с голям калибър, защото се развиват инфекциозни ендокардити и тромбози, нерядко с летален изход. Изисква се предоперативна антибиотична профилактика, както и прием на антибиотици за известен период след оперативната намеса.
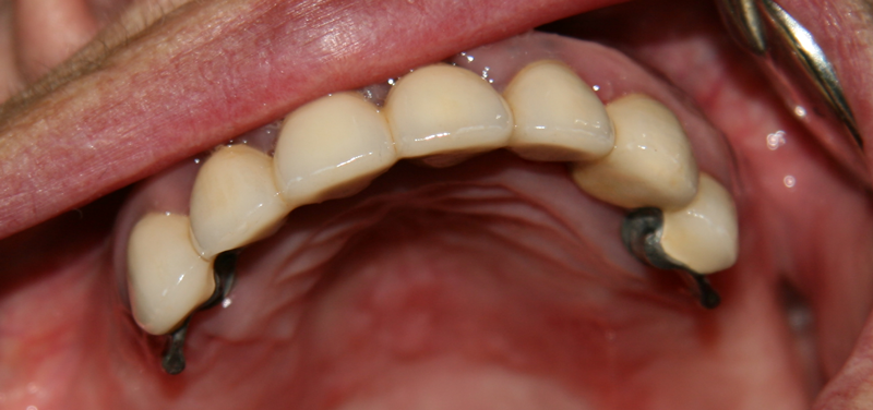
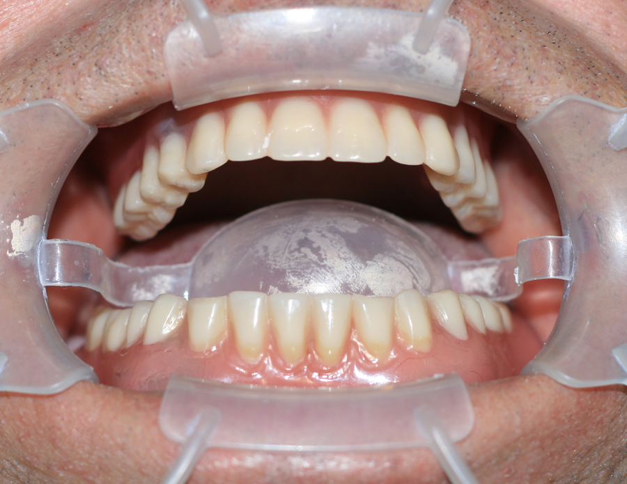
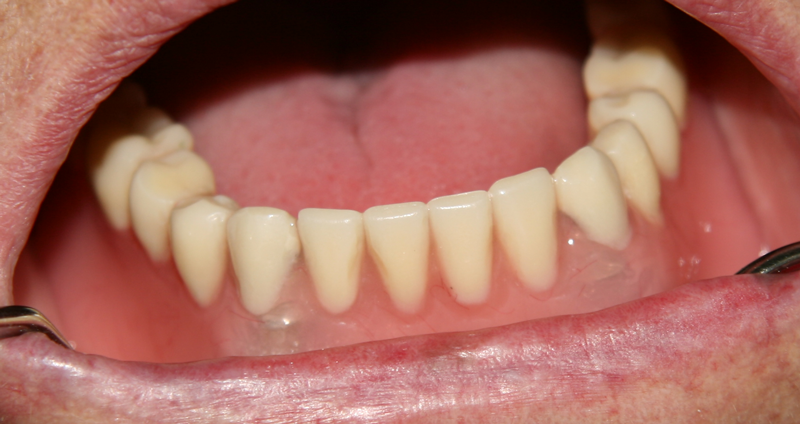
Зъбните протези се поставят в устната кухина. Заместват липсващи зъби и са обект на денталната медицина. Най-простата протеза е неподвижното протезиране с помощта на зъбна коронка. По-сложни са зъбните мостове, които се фиксирани частични протези и подвижните частични или тотални протези на горна и долна челюсти. Съвременно направление е и поставянето на имплант на мястото на изваден зъб. Като материали за протезиране се използват зъболекарско злато, метал, металокерамика, цирконий, както и различни видове пластмаси. Важно е материалите да бъдат биологично поносими за човешкия организъм.
Зъбните корони се изработват с цел да се възстанови частта от зъба, която е разположена над гингивата - зъбния венец. В основната част от случаите клиничната коронка е разрушена от кариес, много по-рядко - като последица от травма или абразия на твърдите зъбни тъкани. Зъбната корона представлява индивидуално изработено възстановяване, което обхваща като корона цялата надвенечна част на зъба и именно от това произхожда терминът. Освен възстановяването на функцията и естетиката зъбната корона има и кариес - протективен ефект, както и чисто стабилизиращо действие - предпазва тъканите от механично разрушаване. При наслагването на много голям обем от обтуровъчни материали механичната здравина на зъба силно намалява, особено ако материалите са от различен тип. С развитието на съвременните композитни възстановявания този проблем до голяма степен е елиминиран. Дентални лекари с по-голям клиничен опит в тези реставрации дори могат да изградят цяла клинична корона директно в устата на пациента - единствено и само от композитен материал, като зъбът може да бъде разрушен на нивото или дори под нивото на венеца.

Зъбна коронка от прескерамика - снимка върху гипсовия модел. Естетиката при материали от този тип е много висока - липсва метален скелет и няма сивеене в по-тънките части на възстановяването. Механичната якост е много голяма, но предимно на натиск, докато якостта на опъване и особено на усукване е ниска. Това прави материала удачен за изработката на единични корони и неприложим при мостовите протезни контрукции.

Рентгенов образ на зъбните корони. В повечето случаи материалът, от който се изработват те, е много плътен и като следствие от това - с висока рентгеноконтрастност. При зъба вдясно (първи молар или шести зъб) короната е метална, а при петия - метално кепе с пластмасова инкрустация. При наслагване на пластмаса върху метала целта е да се осигури естетика - поради което инкрустацията се аплицира най-вече върху вестибуларната зъбна повърхност. На горната рентгенография обаче се виждат метални перлички дори и върху оклузалната повърхност - което означава че и там има пластмасова инкрустация. Това води до бърза абразия и доста често - до фрактуриране на части от материала. Поради тези особености подобни корони са приложими предимно в ролята на временни възстановявания.
Освен това кореновите канали на двата зъба на горната рентгенография не са лекувани добре - пълнежът не достига до края на канала, а около апексите (върховете) на корените са налице възпалителни изменения. Това налага внимателното саниране на зъбите (релечение) преди да се изработи новото възстановяване - не е добра идея да се строи сграда върху нестабилна основа, като при зъбните протези положението е същото. Поради това ендодонтията е област от денталната медицина, която е от много голямо значение за адекватното, трайно и надеждно зъбопротезиране.
Вижда се и широка зъбна корона на първи моларен зъб. В идеалния случай страничните повърхности на короната трябва да бъдат пряко продължение на кореновата повърхност; в терапевтичната стоматология излизащите над венеца обтурации се наричат балкон - пломби и ефектът от тях е свързан с хронично възпаление на гингивата и формиране на пародонтални джобове. При широките корони положението е същото и двата образувани джоба се виждат отлично на горната рентгенография. Праговите корони се възприемат най-добре от меките тъкани - около тях се открива клинично здрава гингива дори и след години.

Частична коронка - не възстановява цялата анатомична корона на зъба, а само част от нея. В зависимост от процента на тъканите, които липсват и следва да бъдат възстановени, са описани полукорона, 2/3, 3/4 и така нататък корони. Обемът на цялата корона се приема за единица. Понякога полукороните се наричат вставки, като между двата термина няма никаква разлика; често се използват и названията онлей, инлей и оувърлей. При правилна изработка и спазване на показанията здравината на подобни възстановявания е много голяма, а естетиката им е отлична - както се вижда на снимката горе.
Мостът представлява неснемаема протезна конструкция, която се закрепва върху съседните два зъба. Не е известно кога точно е произведен първият зъбен мост, но е очевидно откъде произлиза медицинският термин - от мостовете, които строителите изграждат над реките. За целта съседните зъби се изпиляват за корони - най-често за обвивни корони, но понякога и за частични. В съвременната дентална медицина понякога се изработват мостове само върху един мостоносител - това са така наречените мостове с висящи тела или cantilever bridges. Класическия случай с показания за такава протеза е първият горен молар с нужда от обвивна корона и в съседство - липсващ пети зъб. Клиничната корона на премолара е в пъти по-малка като обем и като дъвкателна повърхност от тази на шестия зъб, което изключва проблеми от механично естество. Други показания за мост с висящо тяло са вторите зъби (странични резци) и четвъртите зъби (първи премолари). В съседство с тях има други зъби с масивни клинични корони, които осигуряват добра задръжка за зъба с геометрично по-малък размер. При изработка на две обвивни корони на два съседни зъба с дефект в зъбната редица по съседство постигнатият резултат е дори още по-добър - подобни конструкции са функционално годни в продължение на години и дори десетилетия.
В областта на мостокрепителите има и различни други разработки - например българските СОЧ - крепители. Като абревиатура това означава селективно отворени частични корони. Оклузалната повърхност на съседните зъби се покрива с плака от отлят метал, която има много голяма здравина. Единствено контактните точки са изпилени така че всъщност са свободни - там се разполагат зони от зъбен емайл, които контактуват с антагониста. Подобни конструкции се изработват доста трудно и изискват голямо старание от страна на зъботехника; далеч не винаги изобщо е възможно да се изработи подобен крепител, тъй като оклузалната повърхност на зъба може да е заета изцяло от контакти с антагонистите. В някои специфични ситуации обаче е възможнод а се получат изключителни резултати с помощта на СОЧ - крепители - при зъби в инфрапозиция, при наклонени и като цяло - ектопично разположени зъби със свободни оклузални повърхности. При подобни зъби няма нужда от никакво изпиляване, а туберкулите и фисурите осигуряват отлична механична ретенция на този тип крепител. Не се налага девитализация на зъба - мостоносител, а постоперативна свръхчуствителност няма, тъй като не се отнема емайл и дентин. Това прави СОЧ - крепителите донякъде приложими дори и в съвременното зъбопротезиране, колкото и рядко да се случва това. Недостатък е тяхната естетика - няма друг метод за изработка на СОЧ - крепители освен от лят метал, който не спада към групата на естетичните дентални материали. В областта на дисталните зъби обаче естетиката има по-малко значение и поради това пациенти, които желаят максимално биологични методи на лечение, могат да се възползват от предимствата на СОЧ - крепителите.
Протези се прилагат във всяка една област на човешкото тяло.
Пластичната хирургия също използва импланти за постигане на определени нови форми на тялото. През последните няколко десетилетия са особено разпространени силиконовите гръдни импланти; има обаче и много други типове импланти, които се класифицират към ендопротезите. Различни обширни проучвания съобщават за повишена честота на малигнена дегенерация на меките тъкани около всяка една подобна протеза - от 1 на 2000 до 1 на 800 случая, което реално представлява доста висок риск. Също така при продължително носене протезите на крайниците могат да доведат до развитие на травматични невриноми; неудобните снемаеми зъбни протези много често водят пък до развитието на епулиси, папиломи, фиброми, а в най-лошия случай - и до карцином на гингивата и пода на устната кухина. Оказва се че протезите изобщо не представляват само лечебно средство, а могат да доведат и до тежки патологични изменения (особено на меките тъкани), поради което следва да се прилагат само при реална необходимост. В своите лекции и презентации д-р Венцеслав Ралев винаги сравнява гръдните импланти и лекарствата - в случай че който и да е медикамент води до развитието на злокачествен тумор при 1 от 2000 пациенти, то неговото разрешение за употреба незабавно би било отнето от съответния регулатор.
В областта на културата протезните възстановявания също заемат своето място. Тъй като през последните няколко столетия се изработват всевъзможни средства за протезиране, има и много известни личности с протези. С ампутирани крайници и протези са воювали Алексей Маресиев - летец, Герой на Съветския съюз, Ханс Улрих Рудел - летец от Вермахта на Германия и Дъглас Бадер - пилот от английските Кралски военновъздушни сили по времето на Втората световна война. Съветският летец е главен герой в произведението "Повест за истинския човек" на Борис Полевой и е идвал в България по времето на социализма; извън контекста на пропагандата и мрачните сталински времена Алексей Маресиев остава в световната история като пример за силата на човешката воля и за упоритостта в постигането на една поставена цел.
В сериала „Време за приключения“, в епизодите „Лич“, „Фин Човекът“ и „Джейк Кучето“ Фин от Фермен свят носи дясна изкуствена ръка, която може да се заменя с острие. В епизодите „Пухой“ и „Подземният влак“ старият Фин носи синя изкуствена ръка. В епизода „Сводът“ Шоко работи само с лявата си ръка, а след това Ментовият иконом подарява механичната ръка за нея. Най-известна обаче е изкуствената ръка на Люк Скайуокър от поредицата "Междузвездни войни", а организмът на неговия баща Дарт Вейдър се състои почти изцяло от екто- и ендопротези.
Какво е протеза?
Ортеза
Видове протези
Зъбни протези
Зъбни коронки
Мостови протези
Комбинирано протезиране
Други протези
Протезите и културата