Лечение с импланти

Зъбните импланти представляват съвременно средство за лечение на частичното и тоталното обеззъбяване. Липсата на зъби все още представлява сериозен проблем в световен мащаб; въпреки на пръв поглед незначителната патология това всъщност е сериозно заболяване, което понякога изисква продължително, технически сложно и скъпоструващо лечение с отражение върху целия човешки организъм - позитивно или негативно. При обеззъбени пациенти започва развитието на патологични процеси в цялата храносмилателна система - от устната кухина до дисталната част на правото черво, като всичко това е наблюдавано и потвърдено от различни изследователски екипи от цял свят. Поради това своевременната и адекватна намеса на един специалист по протетична дентална медицина рязко може да подобри общия здравословен статус на пациента; тези биологични закономерности рязко повишават имиджа на протезистите пред останалото медицинско съсловие, а и пред обществото като цяло. Медицински специалист, който възстановява липсващ горен страничен резец, определено помага на своя пациент; в случай че приложеното лечение има благоприятен ефект върху протичането на един хроничен гастрит, дуоденална язва или колит обаче, качеството на живот на болния се повишава рязко и може да се говори дори за напредък в борбата със социално значимите заболявания. Колкото повече са липсващите зъби, толкова по-голямо е влиянието на този дефект върху общото здраве на пациента. Докато един липсващ зъб има предимно психологически дефект (и то предимно във фронталната област), то тоталното обеззъбяване представлява тежко патологично състояние с многобройни последици за целия организъм.

Екстракцията на зъби се налага основно по две причини - кариесът и усложненията му и уврежданията на пародонта. Докато първата група етиологични фактори се повлияват значително от различните профилактични програми и най-вече при своевременно лечение, то лечението на заболяванията на пародонта е доста по-трудно и изисква постоянни и продължителни усилия - както от страна на денталния лекар, така и от самия пациент. Като трети по честота етиологичен фактор за загубата на зъби се отчитат механичните травми - избиване на зъби, фрактури на коронката и корена, които не могат да се възстановят протетично, както и изваждане на зъби, разположени във фрактурната линия при счупвания на горната или долната челюст. Това обаче се наблюдава статистически много по-рядко в сравнение с другите две групи етиологични фактори - в съвременния свят зъби се губят предимно поради заболяванията на пародонта.

Независимо от причината за загубата на зъба, крайният резултат винаги е един и същ - нарушена естетика и говорна функция (най-вече когато липсват фронтални зъби) и нарушена дъвкателна дейност - това пък се наблюдава при липса на странични зъби. В миналото се е смятало че дъвкателен център са основно първите молари (шести зъби), но днес тази концепция е донякъде променена - смята се че основната дъвкателна дейност се извършва от първия в комбинация с втория молар. Разбира се, за да има пълноценно стриване на храната, е необходимо всеки зъб да има съответния антагонист на противоположната челюст. Не е възможно дъвчене между зъб и обеззъбен участък на алвеоларния гребен - освен ако не е изработена съответната протезна конструкция.

Настоящата уеб-страница се изгражда, поддържа и допълва с информация от екипа на Ралев Дентал АД. Всичко това се прави непрекъснато и се полагат ежедневни усилия с една точно определена цел - да се информира широката общественост за всичко, свързано с лечението с импланти, за възможностите и рисковете от това лечение, както и за усложненията и провалите, които понякога настъпват. По този начин всеки нуждаещ се пациент може да направи своя информиран избор дали да се подложи на подобно лечение или не. Ако желаете безплатен преглед и изготвяне на лечебен план, можете да се обадите на телефон 032 642056 или 0888 646003. Отговаряме и на запитвания по е-мейл на адреси ralev@dentist.bg, ceo@ralev-dental.bg и office@ralev-dental.bg. Разбира се, нашият екип има желание да покрепи и всички колеги от Република България в ежедневната им клинична работа, поради което сме създали и справочник за имплантологични практики в цялата страна - всеки дентален лекар, който желае напълно безплатно включване в този справочник, може да заяви това на е-мейл адрес ralev@ralev-dental.bg. Също така всеки пациент, който живее в който и да е град на територията на България, може да получи от нашия екип консултация къде и при кого да отиде да се лекува - въпреки че от гледна точка на медицинската етика това е твърде спорна практика, д-р Ралев е работил в екип с изключително много колеги от цялата страна и има наблюдения и впечатления върху тяхната ежедневна клинична работа. При евентуален провал в лечението нашият екип се ангажира да съдейства по всякакъв начин за решаване на проблема - д-р Ралев приема това като предизвикателство и възможност за натрупване на безценен клиничен опит.

Зъболекарите са се опитвали да прилагат лечение с импланти от най-дълбока древност. В Централна Америка е открит череп (вероятно на местен владетел от племето на маите), в чиято долна челюст е налице здраво остеоинтегрирано чуждо тяло от минерален произход - гладко издялан камък. Формата на камъка е овално - цилиндрична и наподобява зъбен корен; тялото е разположено на мястото на липсващи долни фронтални зъби и има за цел да възстанови дефекта - както от естетична, така и от функционална гледна точка. Тази археологическа находка е важно свидетелство за креативността и уменията на древните лечители - които очевидно са се справили успешно с предизвикателството да възстановят липсващите зъби при техния пациент. В следващите векове спорадично са правени различни опити за имплантиране на различни приспособления в челюстните кости - с променлива успеваемост, но винаги целта е била да се осигури възможност за изработка на неснемаема зъбна протеза, тъй като качеството на живот на пациента с подобно възстановяване е несъизмеримо по-добро спрямо това на хората със снемаеми протезни конструкции. Снемаемата протеза е чуждо тяло с голям обем, винаги има известна подвижност спрямо протезното поле, травмира меките тъкани и задържа храна под протезната плака; от чисто психологическа гледна точка определено създава дискомфорт за пациента, тъй като частични и тотални протези се носят предимно от хора в напреднала възраст. Повечето хора не обичат да бъдат възприемани като стари или остаряващи от околните и са склонни да положат усилия и да инвестират време и средства, за да се отърват от този негативен имидж. Това се случва дори и когато даден индивид не се възприема като застаряващ от околните, но самият той вижда и усеща промени в организма си, което го подтиска и в някои случаи дори може да доведе до тежки депресивни състояния. Истински свободен е само този, който не е роб на себе си, е казал Бенджамин Франклин и този принцип е валиден с особена сила в областта на лицевата естетика.

Поради всички тези биологични, психологически и социални закономерности зъбните импланти винаги са били възприемани като примамливо лечебно средство, от което има много и разнообразни полезни ефекти - далеч не на последно място и за финансовото състояние и професионалния имидж на зъболекаря, който прилага успешно лечение с импланти. Тук много хора от лявополитическия спектър биха възкликнали - да си дойдем на думата! Каквото и да ти говорят, знай че става дума за пари. Проблемът е че монетарните икономики се доказаха като ефективни, създаващи все повече блага и осигуряващи добро качество на живот на хората - и то не само за някои, а за всички хора. Други икономически системи, които разчитат на чувството за дълг, морал, чест или дори на внушаване на усещане за вина у всеки, отдавна се провалиха с гръм и трясък във всяка една точка на света. 

Схема на най-често използвания зъбен имплант в света към настоящия момент - двучастов винтов титанов зъбен имплант. Той се състои от две части, както и подказва името му - имплантатна платформа (вътрекостна част) и имплантатна надстройка - надкостна част. На горната схема е показана платформата на системата IS3 - тя се произвежда от компанията Neobiotech от Южна Корея. В началото на 60-те години на ХХ век започва по-масовото поставяне на винтови импланти; още по това време съществуват двучастови и едночастови импланти, като тази концепция се запазва почти непроменена и до днес. Постепенно обаче се натрупва много голям клиничен опит и изследователите забелязват че двучастовите импланти са едно доста по-добро решение от всяка гледна точка - предимствата на едночастовите импланти са минимални и поради това те се предлагат много по-рядко на пазара на дентални материали в световен мащаб. Двучастовият имплант позволява отсрочено натоварване (submerged healing - закрит оздравителен процес), което рязко повишава успеваемостта на лечението с импланти. Самото понятие закрит оздравителен процес донякъде е неточно - при така наречените tissue level импланти има имплантатна шийка с различен дизайн, която остава разположена в различна степен над нивото на меките тъкани. Поради това при тях заздравителният процес всъщност е открит - имплантът е в контакт с устната кухина с всички негативни последици от това.

При едночастовите импланти надкостната част остава над гингивата и периодично се травмира от всяко едно движение на пациента - това води до забавена, затруднена и в крайна сметка не толкова успешна остеоинтеграция, тъй като първичната стабилност се явява от решаващо значение. В значителен процент от случаите това не представлява проблем - особено при голям имплантатен размер и при липса на костна пластика. При двучастовия имплант вътрекостната част остава скрита и не може да бъде травмирана толкова лесно - това подобрява успеваемостта и до провали се стига значително по-рядко. В случай че двучастовият имплант има надкостна част (споменатият вече tissue level имплант), положението е същото... но не съвсем. Полираната имплантатна шийка няма същата височина като надстройката (абатмънт) и много често не се разполага на повече от 1 милиметър над нивото на гингивата. Това на практика изключва хроничната травма по време на дъвкателната дейност. При изработка на временни протезни конструкции обаче (осебно на снемаеми протези) хроничната травма е значителна и поради това може много бързо да се стигне до усложнения и провали - и то в критичния ранен постоперативен перидо, който е опрделящ за успеха на цялото лечение с импланти. Едночастовият имплант пък има височина на надстройката от порядъка на 5, 6, понякога дори и 7 милиметра - логично е толкова високо зъбно пънче да бъде лесен обект на механични травми. Съществените предимства на закрития оздравителен процес са в друго отношение - над вътрекостния имплант се формира стабилна мекотъканна бариера, която предпазва подлежащите тъкани от бактериална инвазия; освен това пространството над импланта е свободно и там в рамките на няколко дни се разполага постоперативнтият възпалителен инфилтрат. Последният е наличен дори и при най-атравматичния и най-асептичен хирургичен протокол и може да доведе до увреждане на първоначално здравите периимплантатни костни тъкани - трайно или (по-често) преходно. Повече информация за bone level имплантите можете да получите в тази секция на нашия сайт. Според много обширни клинични проучвания обаче преживяемостта на изцяло вътрекостните и tissue level имплантите е една и съща - различна е единствено степента на околошиечната костна резорбция. Това обаче е значителен проблем и изисква внимателно прецизиране на избора за най-подходящото средство за лечение.

Триизмерно изображение на така наречения tissue level имплант - серията ITI на компанията Neobiotech. Като абревиатура ITI означава International Team of Implantology - организация със седалище в Швейцария, която обединява най-големите ентусиасти в областта на лечението с импланти, организира лекции, семинари и конгреси и провежда обширни клинични и лабораторни проувания. Сдружението е изключително силно, отдавна има създадени традиции в областта и натрупва все повече последователи. За съжаление обаче много често въпросната организация се занимава и с чисто лобистка дейност - налага интересите на определени компании - производители на зъбни импланти, яростно критикува други и дори се опитва да ограничи броя на денталните лекари, които имат право да поставят импланти. Това определено не са особено етични практики, но обществото има своите механизми на противодействие.

На горната схема добре се вижда полираната имплантатна шийка - тя се разполага на нивото на меките тъкани. Очевидно е че при един по-дебел гингивален биотип няма възможност за механични микротравми върху надкостната част на импланта - тя дори потъва на 0.5 - 1 милиметър под нивото на гингивата и е необходимо известно дооформяне на зъбния венец. Поради това много производители предлагат импланти с различна височина на полираната шийка - по-голяма за по-дебел венец и по-малка за по-тънък. Не се налага обаче разкриване на импланта - след приключването на оздравителния процес полираната имплантатна шийка се вижда и е заобиколена от здрава, плътна, бледорозова лигавица; с това предимствата на tissue level импланта обаче се изчерпват. Причината той да продължава да се произвежда и поставя се крие единствено в консерватизма на денталните лекари - първите винтови титанови импланти на производителя Straumann от Швейцария са имали именно такъв дизайн и по-старото поколение дентални лекари е свикнало да работи единствено и само с такива системи. Поради добрия маркетинг на швейцарската компания, а и поради факта че за дълъг период от време алтернатива просто не е имало, зъболекарите са си изградили определени навици и се придъжат към тях. Този начин на разсъждение е до голяма степен разбираем - след като нещо работи на практика, защо да го променяме? Традиционалистите и като цяло хората с консервативен начин на мислене изключително много подкрепят подобен подход. Напоследък обаче дори и колеги на възраст от 70 - 75 години ясно виждат доста по-добрите клинични резултати при поставяне на изцяло вътрекостни импланти, поради което променят своя протокол на работа. Крайният резултат от всичко това е осигуряването на доста по-добро качество на лечението с импланти.

Схема на едночастовите импланти на компанията Neobiotech. При тях няма свързващ елемент между имплантатната платформа и абатмънта - съответно няма и възможност за разхлабване на този елемент. Вижда се обаче високата имплантатна надстройка, която е обект на непрекъснати механични травми непосредствено след поставянето на импланта - което в крайна сметка много често води до провал в лечението с импланти. Този провал е доста по-труден за лечение от протетичните провали - изисква повторни оперативни интервенции, разрези, шевове и последващ оздравителен процес, докато протетичните провали се лекуват единствено с пилене и снемане на отпечатъци до безкрайност. Решението е шинирането в блок на много голям брой едночастови импланти. Така усложненията стават доста по-редки и имплантите просто не падат, защото дори и при тежка костна резорбция мостовата конструкция придържа импланта в триизмерното пространство на устната кухина и човешкия организъм. През последните няколко години в България усилено се рекламират така наречените базални импланти - които са подвид на едночастовите импланти, но нямат награпавена вътрекостна част, а са изцяло полирани. В специализираната литература не се откриват данни за успеваемостта при лечението с тях; някои дентални лекари обаче, които ги поставят от дълъг период от време, споменават за относителен дял на провалените импланти от порядъка на 50 % и повече.

Триизмерна схема на зъбните импланти на Neobiotech - серия IS3. В едно отношение тази имплантатна система е наистина уникална - тя съчетава предимствата на вътрекостните импланти с възможността за адаптация (срастване, атачмънт, прикрепяне) на меките тъкани към имплантатната платформа. Към настоящия момент нито една друга имплантатна система в световен мащаб няма подобен дизайн; настоящата уеб-страница е създадена през месец юли 2025 година и тъй като имплантологията е една доста динамична област, може би е въпрос на време други производители на зъбни импланти да копират иновацията на корейската компания. Нашият екип няма информация дали този имплантатен дизайн е защитен с патент; дори и да е защитен обаче, патентите имат определен срок - 10 или 15, рядко 20 години. Поради големите предимства на зъбните импланти от този тип вероятно в бъдеще много други производители ще пуснат на пазара продукти с подобен макродизайн.

Набраздяване на имплантатната шийка в нейната хоризонтална част - platform switching. Именно това набраздяване прави системата IS3 уникална в световен мащаб, защото не се прилага при никоя друга имплантатна система. Всички останали имплантатни платформи, които имат осигурена възможност за срастване и адаптация на меките тъкани, са набраздени във вертикалната част на шийката. Много често гениалните решения са изключително елементарни и това представлява много показателен пример за това философско твърдение. Изцяло вътрекостните импланти, при които има подобен дизайн, са с полирана хоризонтална част (или ецвана, за да се получи добра адаптация към костните тъкани). Единствено при имплантите на Neobiotech (серия IS3) хоризонталната част е набраздена.

Въпросният platform switching пък е въведен за първи път при зъбните импланти от друга система - Ankylos на компанията Denstply. Днес се прилага от много други производители и има за цел да компенсира несъответствието между широката имплантатна платформа и тясната имплантатна надстройка. Такава е била първоначалната идея на този дизайн и сама по себе си тя е изключително полезна - създава възможност за поставяне на тясна надстройка върху широка вътрекостна част и обратно. Освен че улеснява вносителите на зъбни импланти (които вече не са задължени да поддържат толкова големи складови наличности от надстройки с различни диаметри), това дава възможност и за много по-разнообразни и биологично издържани протетични решения. Така например в областта на моларните зъби е много по-удачно да се постави широка имплантатна надстройка и да се изработи зъбна коронка с много по-малък екватор - предпоставка за по-добра задръжка чрез цимент и най-вече за по-добра устна хигиена. При долните резци пък е възможно да се постави много дълъг и много широк имплант с тясна надстройка - което изключително много улеснява зъботехника, тъй като клиничните корони на долните резци са с тясна шийка и при широка основа на абатмънта изработката им става на практика невъзможна. Оказва се обаче че има и още по-полезен ефект - формира се здрав маншон от съединителна тъкан в празното пространство на платформеното включване и това осигурява доста по-голяма устойчивост на лечението с импланти напред във времето. Схематично платформеното включване изглежда така:

Вижда се плътната съединителна тъкан, която се образува около прехода между зъбния имплант на абатмънта - въпросният platform switching. Колкото е по-широко това пространство, толкова по-плътна и устойчива е тъканта, която прораства в него. На горната схема е показана системата IS2 - при нея има шиечна област с височина от 0.5 милиметра, която е стругована и има за цел надлъжно разполагане на колагенови влакна и мекотъканни клетки. Това обаче веднага превръща изцяло вътрекостния имплант в такъв от типа tissue level. Поради това през далечната 2011 година компанията Neobiotech се опита да предложи междинно решение - имплантатна шийка, която е стругована и има височина от 0.5 милиметра, както е показано на горната схема. Половинчатите решения (на ученически жаргон - отбиване на номера) са в състояние да заблудят някои колеги, но за кратък период от време. Дори и в медицината понякога има абсолютно валидни твърдения само с два възможни отговора - една жена не може да бъде малко бременна, а един зъбен имплант не може да бъде частично вътрекостен. Или е от типа tissue level, или е bone level - въпреки че при работа върху биологични обекти и субекти рядко нещата са изцяло черни или изцяло бели. Поради това д-р Хоо въведе в практиката зъбните импланти от серията IS3 - при тях имплантатната платформа е изцяло вътрекостна без никакво замазване на положението или отбиване на номера.

Концепцията за маргиналното запечатване (marginal sealing) също е въведена от друг производител - американската компания Bio Horizon. При техните зъбни импланти обаче набраздяванията са нанесени с лазер, докато при имплантите на Neobiotech шийката е стругована. Идеята е една и съща - да се формират бразди, чиято дълбочина и диаметър да бъдат съизмерими с размерите на епителните и съединителнотъканните клетки. Около тези бразди бързо прорастват и колагенови влакна - по аналогия с циркулярния зъбен лигамент, който е основна анатомична съставна част на пародонта. В много случаи тук става въпрос за локално обусловени генетични фактори, особено при имедиатно имплантиране - оздравителните процеси са програмирани на софтуерно ниво така че бързо да се формира ligamentum circulare dentis. Възможно е това дори да играе положителна роля по отношение на по-добрите резултати при имедиатно имплантиране - веднага след екстракцията на даден зъб, но това не е установено със сигурност и представлява обект на бъдещи проучвания. Всичко това ускорява интеграцията на тъканите към имплантатната повърхност и в същото време води до по-голям процент на епително прикрепване - при Neobiotech този процент достига до 95 според публикации в специализирана литература. Различна е единствено технологията на изработката на браздите.

При имплантатната система TBR (Франция) също има добро технологично решение - шийката се изработва с фабрично фиксиран циркониев пръстен. Първоначалната идея на този пръстен е била да се осигурят оптимални условия за формиране на естетичен зъбен венец - с цел да не прозира сивкав метал, което води донякъде до сивеене на гингивата. Това се наблюдава предимно при тънък гингивален биотип Впоследствие обаче се оказва че има доста по-полезен ефект - отлична мекотъканна адаптация към шийката на зъбния имплант. Това предпазва подлежащите тъкани от бактериална инвазия и разрушване в бъдеще - което е от изключителна важност при лечението с импланти. Първият зъбен имплант, поставен в нашата дентална практика през далечната 2006 година, беше именно от серията Zirconnect на производителя TBR. Към месец юли 2025 година имплантът все още се намира в устната кухина на пациентката и е здраво фиксиран към костните тъкани на горна челюст - което обаче статистически не доказва нищо, защото представлява единичен клиничен случай.

Желаният от всеки клиницист краен резултат от лечението с импланти - плътна остеоинтеграция на имплантатната платформа към костта и здрави, добре контурирани меки тъкани. Всъщност това не е краен, а междинен резултат - предстои изработката на протезната конструкция. Без нея поставянето на зъбни импланти става безсмислено, тъй като пациентът не може да дъвче с вътрекостния винт, нито пък е налице възстановена естетична функция. На всичкото отгоре този резултат трябва не само да бъде постигнат, но и съхранен напред във времето - по възможност до края на живота на пациента. Добре се вижда дизайнът на имплантатната шийка - напречно набраздяване, което от своя страна води до циркулярно ориентиране на съединителнотъканните влакна и надлежащия епител. Връзката между импланта и надстройката е конична - два конуса влизат един в друг и при затягане с въртящ момент от 25 - 30 N/cm между тях се формира студена заварка. Възникват сили на междуатомно взаимодействие и цепнатината между двете метални повърхности изчезва. Това представлява още един полезен ефект по отношение на хигиената и профилактиката - предотвратява се бактерилната инвазия и това предпазва тъканите от последващо възпаление. Понякога този тип връзка се нарича морзов конус - без да има нещо общо с морзовата азбука. Друго название, което напоследък се разпространява в специализираната литература, е биологична връзка - то пък се определя именно от това че липсата на цепнатина между импланта и надстройката е доста издържана в биологично отношение. Всичко това е от значение за профилактиката на периимплантита - микроорганизмите са на второ място след излишъците от фиксиращ цимент като етиологичен фактор за развитието на това заболяване.

Стругована имплантатна шийка на платформата на системата IS2 - Neobiotech - Южна Корея. Всъщност първите винтови титанови импланти (тези на системата Брьонемарк) се предлагат на пазара именно с такава имплантатна повърхност. Цялата имплантатна платформа е стругована, което създава условия за добра остеоинтеграция. През следващите десетилетия са въведени доста по-усъвършенствани имплантатни повърхности, но дори и през XXI век някои компании все още предлагат зъбни импланти със стругована повърхност. Причина за това е лесният и евтин технологичен процес при производството на такива зъбни импланти. Оказва се обаче че подобна имплантатна повърхност се възприема добре от костната тъкан, но още по-добре - от меките тъкани. Единственото условие за това е набраздяванията да са разположени циркулярно, подобно на ligamentum circulare dentis - важен елемент от пародонта. Не е известно кой точно и кога открива добрата мекотъканна адаптация към подобни имплантатни шийки, но това определено става изкушаващо за производителите - така нареченият marginal sealing (маргинално запечатване) предпазва импланта от костна загуба. Възниква обаче противоречие, както вече беше споменато в хода на настоящото изложение - на пръв поглед не е възможно да се осигури едновременно мекотъканна адаптация и имплантът да бъде от типа bone level. Предимствата на изцяло вътрекостните импланти са безспорни - пространството над имплантатната платформа е свободно и осигурява място за възпалителния инфилтрат, който се натрупва постоперативно; това от своя страна води до минимална костна резорбция. Поради това възниква технологична, а и морална дилема - дали да създадем bone level имплант и да се възползваме от неговите предимства, или да пуснем на пазара имплант с възможност за marginal sealing? Този въпрос на пръв поглед няма еднозначен отговор... докато не се оказва че универсално решение всъщност има. Креативният мозък на д-р Йонг - Ку Хоо обаче е успял да реши технологичната задача така че и вълкът да бъде сит, и агнето цяло - като разположи стругованата част върху хоризонталната компенсаторна част на вътрекостния имплант по следния начин:

Циркулярни пръстени при зъбния имплант от серията IS3. Необходимо е да се отбележи и че при малък имплантатен диаметър хоризонталната част е по-тясна; обратно, при широките импланти компенсаторната част на шийката има много по-голяма площ, тъй като вътрешната конусовидна повърхност има еднакъв диаметър при всички имплантатни размери. Логично е че при диаметър на платформата от 3.5 милиметра хоризонталната част ще бъде тясна, а при диаметър от 7 милиметра - с 3.5 милиметра по-широка. Това представлява още едно предимство на широките зъбни импланти - при тях се формира много по-дебел и устойчив циркулярен пръстен от съединителна тъкан. Поради тези биологични закономерности всяка една възможност за поставяне на по-широк имплант следва да бъде използвана - това осигурява като цяло една по-добра прогноза на лечението с импланти.

В миналото са били прилагани зъбни импланти с всякаква възможна форма. При някои имплантатни системи няма платформено включване (platform switching), а съотношенията са обратни - надстройката е дори по-широка от имплантатната платформа. Като цяло подобен дизайн се е оказал крайно неудачен и към момента е изоставен от всеки един производител по света. Биологичното въздействие на зъбни импланти с подобна форма не се отличава особено от това на една широка безпрагова корона - под надстройката се задържа храна и плака и се поддържа едно хронично възпаление.

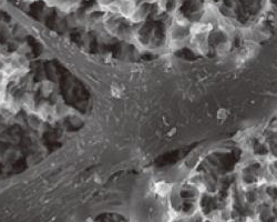
Скенираща електронна микроскопия на витален остеобласт, разположен върху имплантатната повърхност. Именно това представлява процесът на остеоинтеграция, който е от ключово значение за успеваемостта и трайността на лечението с импланти. Тъй като зъбни импланти се поставят масово в световен мащаб от началото на 60-те години на ХХ век, вече има натрупан огромен клиничен опит и дългогодишни наблюдения върху всички процеси в областта на костта и меките тъкани. Отдавна има доказателства че при правилно проведени лечебни процедури и добър оздравителен процес имплантът се интегрира трайно и плътно към костните тъкани - налице е остеоинтеграция. Това се наблюдава предимно при награпавените имплантатни повърхности и в много по-малка степен при полираните импланти - те се задържат в челюстните кости чисто механично, на принципа на макроретенцията. Въпреки че материалите, от които се изработват имплантите, всъщност са едни и същи (предимно чист титан), наличието на микрограпавини силно подобрява адаптацията на импланта към костните тъкани. Почистването на тези микрограпавини обаче е технически трудно - в случай че възникне проблем. Поради това при развитие на възпаление (периимплантит) прогресията е доста по-бърза и обширна в дълбочина и на ширина. При полираните зъбни импланти чрез хигиенни процедури е възможно да се осигури известно стациониране и дори спиране на процеса - което обаче изисква изключително постоянство и упоритост от страна на пациента.

Лечение с импланти на частично обеззъбяване в областта на горната челюст - страничен участък. Там е налице анатомично образувание, което в миналото е водело до значителни затруднения - максиларният синус. При напредване на процесите на атрофия синусовият под започва да се доближава все повече и повече до билото на алвеоларния гребен и в даден момент костната тъкан вече няма достатъчно височина за поставяне на зъбни импланти. Успоредно с това атрофията засяга и билото на алвеоларния гребен и това още повече редуцира костния обем. Повечето съвременни имплантатни системи изискват поне 7 или 8 милиметра височина на алвеоларния гребен - това е дължината на най-късите импланти. Срещат се и още по-къси - от порядъка на 5 или дори 4 милиметра, но те вече нямат достатъчно голяма повърхност и поради това не осигуряват траен и надежден контакт с костта.

Според много производители това твърдение не отговаря на истината - описани са случаи на зъбни импланти с дължина 4 милиметра, които остават в устната кухина на пациента в продължение на 20 - 25 години и не показват никакви признаци на периимплантит и костна резорбция. Особено добри резултати в това отношение осигурява имплантатната система Bicon, която се произвежда в САЩ. Това обаче са по-скоро единични случаи - статистиката показва много по-добра успеваемост и трайност на имплантите с по-голям размер. Очевидно размерът има значение! При успеваемост от порядъка на 50 % за период от три години при късите импланти и 95 % за същия период при дългте импланти изборът на лечебен метод би трябвало да бъде ясен. Допълнителен рисков фактор е ниската костна плътност в областта на страничните участъци на горна челюст, както и лошото кръвоснабдяване при напреднала атрофия - те изискват още по-голяма контактна площ, а евентуално и апликация на костозаместващ материал, който да доведе до повишаване на костната минерализация.

Всичко това определено е показание за повдигане на пода на максиларния синус - въпреки всички оперативни рискове това повдигане осигурява възможност за поставяне на дълъг и стабилен зъбен имплант, който има значителна контактна площ с костните тъкани. С течение на времето поставеният в синуса костозаместител се резорбира и на негово място се отлага плътна и здрава кост, която постепенно увеличава своята минерализация. Големият имплантатен размер осигурява задръжка на платформата към костта и дори при възникнал проблем не се стига до провал в лечението. Всичко това би следвало да бъде стимул за всеки един имплантолог да натрупва повече клиничен опит и да повишава своята квалификация по отношение на синуслифта - с времето това се доказа като надеждна и сигурна процедура за осигуряването на добри клинични резултати.

Лечение с импланти в страничния участък на долната челюст - триизмерна схема, която е предоставена на нашия екип от компанията Neobiotech. Статистически това се налага също много често - първите молари са едни от първите зъби, които се налага да се екстрахират по различни приини. От една страна, тези зъби поникват рано, когато не са достатъчно минерализирани и бързи се засягат от кариес. Много локализирани форми на пародонтит също се развиват първоначално при шестите зъби - което също води до загуба на зъба с последваща необходимост от протезиране. Всички тези увреждания засягат както долната, така и горната челюст - което изисква и съответното адекватно лечение на дефекта. При мандибулата е налице съдово - нервен сноп, който се разполага във вътрешността на костта и създава затруднения. Докато повдигането на пода на горночелюстния синус е технически лесно, транспозицията на долния алвеоларен нерв и артерия са доста по-трудни и изискват продължителен, неприятен и болезнен заздравителен процес. Интра- и постоперативните рискове при подобни интервенции са освен това доста по-големи.

Следва да се вземе в съображение и вертикалната аугментация на алвеорания гребен - тя създава доста по-добри биомеханични условия при лечението с импланти. При успешно увеличаване на височината на гребена е възможно да се постави имплант с по-голяма височина и да се изработи по-къса клинична корона. Това намалява вероятността от протетични усложнения - развиване на свързващи винтове, разциментиране на корони, фрактури на керамика и т.н. Ако вертикалната аугментация се съчетае с увеличаването на площта на прикрепената гингива и меките тъкани като цяло, това би било предпоставка за едно стабилно и устойчиво във времето лечение с импланти. Технически погледнато обаче, това се постига доста по-трудно; освен това постигането на увеличен костен обем е едно моментно състояние. Докато при синус лифтинга костната аугментация се осъществява в дълбочина в пределите на тъканите, то вертикалната аугментация на гребена създава костен обем в една много рискова област - имплантатната шийка. Последната е изложена на множество потенциално увреждащи фактори - механични травми от зъбната четка и храната, химични въздействия от различни субстанции и най-вече биологични увреждащи фактори - зъбната плака. Всичко това силно затруднява костната аугментация и освен това прави постигнатия вече резултат не особено устойчив с течение на времето - особено ако обемът на аугментационната процедура е значителен. При хоризонтално увеличаване от порядъка на милиметър или два съществен проблем няма; при по-големи увеличения обаче се изисква продължителен период от време до пълната матурция и минерализация на новообразуваната костна тъкан.

Фабрична опаковка на зъбния имплант. Всеки един имплант е опакован стерилно в индивидуална опаковка. Имплантатната повърхност е идеално чиста или поне би трябвало да бъде такава при спазване на основните принципи в технологията на производството. Това налага внимателна и прецизна работа с вътрекостната част на импланта - тя не бива да се докосва с ръкавици или да се оставя върху каквато и да било повърхност. Първата субстанция, която влезе в контакт с имплантатната повърхност, би трябвало да бъде алвеоларната кост на пациента - разпробита, калибрована и готова за имплантиране. При пробиване на отвор в костта при нормални условия се явява кървене; именно тази кръв от оперативното поле е необходимо да осъществи първия контакт с имплантатната повърхност, тъй като в нея има повишена концетрация на остеобласти, фибробласти и костни морфогенетични протеини. В този ред на мисли наличието на всякакви чужди субстанции като талк от ръкавици, прашинки от околната среда или особено слюнка и зъбна плака от съседни зъби могат да доведат до усложнения и провали. Следва да се има предвид че това няма да се случи в 100 % от случаите или дори не в 50 %; ако един зъболекар обаче желае да е перфектен и да предостави максимално възможното качество на лечението с импланти, той трябва да спазва елементарните правила на третиране на зъбните импланти. В много случаи се наблюдават на пръв поглед необясними провали - на рентгенография се вижда добре интегриран зъбен имплант с нулева костна резорбция; при разкриване на импланта обаче и при опит за развиване на покривния винт вместо него се развива целият имплант от костта. Причина за това е така наречената субклинична инфекция - хронично възпаление без никакви клинични белези, което обаче пречи на протичането на нормалния процес на остеоинтеграция.

Основен набор от фрези, с който се извършва поставяне на зъбни импланти. Различните производители предлагат на пазара и различни продукти (което е нормално), но общата тенденция е към непрекъснато усъвършенстване на набора от инструменти. Понякога се извършва опростяване на комплекта, тъй като според много философски концепции гениалните неща всъщност са прости и колкото по-елементарно е едно решение, толкова по-ефективно работи то в практиката. В други случаи това се оказва далеч не толкова печеливша стратегия и вместо да се изхвърлят, се добавят нови и нови фрези, преходници, стопери, държачи, ключове и ключета. За ужас на философите се оказва че далеч не във всеки клиничен случай нещата са прости, а се изисква специфичен оперативен подход с доста усложнен хирургичен инструментариум.

Схема на крайната цел на лечението с импланти - пълна остеоинтеграция на импланта, плътни и устойчиви меки тъкани. Около имплантатната шийка има увеличен костен обем - бежовите сферички показват наличието на изкуствена кост, а с тънка синя линия е означена бариерната мембрана. При правилно проведени оперативни интервенции това състояние е устойчиво не само в даден момент, а и напред във времето - пациентът понякога съхранява своите зъбни импланти за период от 60 и повече години. Всъщност това е крайната цел на хирурга - за протезиста и самия пациент наличието на един добре поставен, остеоинтегриран имплант означава единствено че в алвеоларния гребен е налице вътрекостен винт. Този винт вече може да се използва за задръжка на зъбна корона, мостова конструкция или снемаема протеза; докато обаче те не бъдат изработени естетично, биологично и функционално издържани, лечението просто не е приключило. В много случаи изработката на протезната конструкция е технически по-сложна, по-трудоемка и крие повече рискове от провали и усложнения отколкото поставянето на самия имплант. След като протезната конструкция е изработена и фиксирана, лечението с импланти не приключва - просто навлиза в своята поддържаща фаза. Необходими са периодични контролни прегледи и старателно почистване на зъбната плака и зъбния камък - всичко това е описано подробно по-долу, в края на настоящото изложение.

За успешното лечение с импланти играят роля много фактори. В началните етапи обаче може би най-голямо значение има хирургичният протокол - последователността на различните оперативни процедури, с които се поставя имплантатната платформа и се стига до нейната успешна интеграция към челюстните кости. При различните имплантатни системи са налице известни вариации, но има и някои общовалидни принципи: започва се с пилотен разпробивач (фреза) и постепенно се разширява пробитият отвор до необходимия диаметър. На горна схема е показан начинът на работа с фрезите на системата Neobiotech, тъй като нашият екип работи най-често с тази имплантатна система. Първата фреза е тази на германския хирург Lindemann - тя има остър връх и странични назъбени ръбове, които позволяват и известно разпробиване и разширяване в странична посока. При необходимост може да бъде променян наклонът на зъбния имплант, както и неговото местоположение в триизмерното пространство - в случай че има опасност от доближаване до съседни зъби или вече поставени вътрекостни импланти. Има и възможност за осигуряване на успоредност между два или повече импланта - което представлява голямо улеснение по отношение на протезирането. Поради тази своя особеност хирургичната фреза на Аугуст Линдеман е включена в сетовете за поставяне на импланти на изключително много производители от цял свят.

Следва разширяване и калиброване на имплантатния отвор до необходимия диаметър - това се извършва с други хирургични фрези, показани по-горе. В случая те са означени с оранжев и зелен пръстен за маркировка. Цветната маркировка е изключително удобна, защото пести време - операторът няма нужда да разчита дребния шрифт, маркиран върху фрезите и имплантологичния сет, а просто редува цветовете един след друг. Освен това няма вероятност при измиване и стерилизация да се разбъркат калиброващите фрези - стига, разбира се, инструментаторът да има желание да изучи наборите от инструменти и да използва елементарна логика. Първата калиброваща фреза е безцветна, няма маркиращ пръстен и се нарича initial drill; това оназвание всъщност е неточно, тъй като инциалният разпробивач е този на Линдеман. Той е означен като point drill - маркираща фреза, с която се нанася единствено точка върху костта. В това също има известна логика, тъй като някои оператори наистина предпочитат да използват фрезата на Линдеман само за маркиране на отвора в костта; въпросната фреза обаче е агресивна, спестява доста време и позволява интраоперативни корекции, така че според преценката на нашия екип е много по-удачно първоначалното разпробиване да бъде извършено именно с нея. По време на работа от първата до последната фреза е необходима обилна иригация - не бива перисталтичната помпа на имплантологичния юнит да бъде намалявана дори и с 5 %, защото задръстването на разпробивачите с костни отпилки и особено повишеният механичен натиск могат да доведат до повишаване на локалната температура. По чисто емпиричен начин е установено че при достигане на температура от 46 градуса по скалата на Целзий проблем няма; при загряване на костната тъкан до 47 градуса обаче, само с един градус повече, се стига до костна некроза в около 50 % от случаите. Разбира се, това не означава автоматично че загряването на костта до 47 градуса ще доведе до провал - в огромен процент от случаите тази некроза е асептична, не се стига до никакви признаци на клинично възпаление и като следствие се наблюдава пълна регенерация на тъканите. В други случаи обаче коагулираните от температурата белтъчни субстанции се превръщат в идеална хранителна среда за развитието на микроорганизми, които попадат в оперативното поле от устната кухина. Последиците от това са ясни - развива се възпаление, остро или хронично, което е изключително нежелана реакция по отношение на имплантираното чуждо тяло. В значителен процент от случаите това възпаление води до провал в лечението - поставеният имплант пада и цялото лечение с импланти трябва да се започне от началото. Още по-неприятното е че това се случва без болка, без оток и изобщо с нулеви оплаквания от страна на пациента - в даден момент от деня имплантът излиза спонтанно от костта и се озовава в устата на пациента. Това е поредното свидетелство за един елементарен патофизиологичен принцип, известен от древни времена - болката всъщност е полезен симптом, който е ранно предупреждение за наличието на потенциална заплаха за здравето на организма. При наличие на болка на мястото на поставения зъбен имплант в доста голям процент от случаите пациентът взема необходимите мерки - търси медицинска помощ и по този начин вероятността да се предотврати провалът е голяма. Причина за това може да бъде фактът че зъбните импланти всъщност са изкуствени тела - те не са нормален елемент от организма със съответната инервация и не участват в рефлекторни и патофизологични процеси подобно на естествените зъби.

Хирургичен протокол за поставяне на импланти с по-голям диаметър - така наречените широки импланти. Преценката за това кой имплант е широк е много индивидуална за всеки практикуващ клиницист - докато зъбни импланти с диаметър от 4.5 милиметра са в състояние да хвърлят в ужас един начинаещ имплантолог, за хирурга с повече опит имплант с ширина от 7 милиметра представлява трайно и сигурно решение, устойчиво напред във времето. Някои имплантатни системи (като Southern Implants от Южноафриканската република) предлагат имплантатни диаметри дори от 9 милиметра - които пък са изключително удачни при големи костни дефекти и особено при оро-антрални фистули. В нашата дентална практика като стандарт при лечението с импланти в областта на страничните зъби на горна и долна челюст са приети диаметрите от 5.5 и 6 милиметра. Активният връх (както е на схемата горе) позволява разпробиване дори и с най-широката фреза на допълнителна дълбочина, в случай че това е необходимо; зъболекари с по-малък клиничен опит обаче е по-добре да започнат работа с фрези с неактивен връх - предимно в страничните участъци на долната челюст. Там съществува риск от засягане на долночелюстния канал с разположения в него съдово - нервен сноп, което представлява неприятно усложнение. Фрезите с активен, заострен връх носят и известни рискове при повдигане на пода на максиларния синус, но все пак тези рискове са твърде преувеличени. Случайното навлизане в синусната кухина не представлява проблем - то предизвиква минимални разкъсвания на синусната лигавица, които в рамките на няколко дни оздравяват без усложнения. Някои методи за повдигане на синусовия под дори включват контролирано навлизане в кухината с калиброваща фреза с активен връх - при така наречения вертикален синуслифт, който напоследък се практикува по-рядко, но също има известни показания.

В специализирната литература има публикувани доста клинични наблюдения не само относно върховете на калиброващите фрези, но и за техния диаметър. Логично е всяка следваща фреза да бъде с по-голям диаметър от предишната; с колко обаче да се различава този диаметър? При по-голяма разлика като цяло оперативното време намалява до голяма степен - в никакъв случай не е едно и също дали диаметър на разпробития отвор от 7 милиметра се достига с три или с девет калиброващи фрези. При по-голям брой калиброващи фрези обаче е налице едно съществено предимство - разликата в диаметъра е минимална и съответно механичната компресия върху костните тъкани по време на разпробиване също е много малка. Това прави като цяло поставянето на зъбни импланти по-малко травматичен и по-щадящ за организма процес - което никак не е без значение по отношение на постоперативния период. При по-силна механична травма тъканите са размачкани, кръвоснабдяването е нарушено в по-голяма степен, което води като цяло до по-болезнен и продължителен оздравителен процес. Освен това употребата на повече на брой калиброващи фрези с по-малка разлика в диаметъра има и друго предимство - позволява завинтването на импланта с един и същи въртящ момент (торк) независимо от наличната костна плътност. При по-малка костна плътност (D4 - D3) се пробива с фреза с по-малък диаметър, докато при по-висока костна плътност - с по-широка фреза. Някои изследователи препоръчват дори при кост от типа D1 зъбните импланти да се завинтват с минимален въртящ момент - от порадъка на 10 или дори 5 N/cm; в тази концепция има подчертана клинична логика, тъй като плътната костна тъкан е лошо кръвоснабдена и дори минималната компресия още повече влошава притока на кръв.

Специално при имплантите от системата Neobiotech употребата на последната фреза е от решаващо значение - на горната схема тя е оцветена в златисто. На български тази фреза се нарича резбонарез, на английски - tap drill, докато руският термин е метчик. Именно с тази фреза се оформя вътрекостна резба, която много подобрява първичната стабилност на импланта; освен това нарязването на тази резба силно увеличава контактната повърхност между зъбния имплант и костта и това прави процеса на остеоинтеграция бърз и съпроводен с минимални усложнения. При серията IS2 този резбонарез е оцветен в черно, подобно на останалите фрези, докато при имплантите IS3 той е златист - вероятно поради любовта на всички далекоизточни народи към златото и към усещането за благосъстояние, което то създава. Видът на костния метчик обаче е от решаващо значение - при първия тип импланти стъпката на резбата е 0.8, докато при вторите тя е 0.9 милиметра. Това прави поставянето на импланти IS2 невъзможно с хирургичния набор за IS3 и обратно - вътрекостният винт се затяга с много голям въртящ момент още при достигане на 1/2 от необходимата дълбочина и по-нататъшното завинтване става невъзможно. Разбира се, в това твърдение има голяма условност - нищо не пречи при поставяне на имплант с диаметър 4.5 милиметра да се разпробие с фрезата за 5.0 и да не се използва костен метчик. Това обаче е възможно само при дългите зъбни импланти - 13.0 или 11.5 милиметра. При тях площта на платформата е голяма и това осигурява известна фрикция с костната повърхност. Дори и при много широк костен отвор имплантът се задържа чисто пасивно, но пък е невъзможно да се натовари имедиатно поради недостатъчната първична стабилност. В същото време това води и до нулева костна резорбция - очевидно идеално щастие няма!

Освен всичко това в горните две схеми са налице две важни грешки, и то във всяка една от тях - с при костна плътност от порядъка на D1/D2 не се налага разпробиване с костния резбонарез до 1/2 от дълбочината на вече калибрования отвор, а много по-дълбоко - до 3/4 или дори до дъното на отвора. Тази подробност е изключително важна, защото колкото по-дълбоко се разпробива с метчика, толкова по-малък е постигнатият въртящ момент в края на поставянето на импланта и съответно вероятността от компресия с последваща некроза е по-малка. При плътност от порядъка на D4 пък резбонарезът просто не се използва - при поставянето самият имплант действа като метчик и дори се постига известно уплътняване на костта благодарение на компресията на костните отпилки.

През последните няколко десетилетия се въведоха и някои иновативни методи за препарация на костния отвор след неговото първоначално разпробиване. Те изискват съответната инвестиция в апаратура, но всеки зъболекар иска да предостави колкото е възможно по-добро качество на лечението с импланти и поради това подобни инвестиционни разходи са до голяма степен оправдани. Особено добър ефект има обработката на зъбната алвеола с пиезоелектричен апарат за костна хирургия (пиезотом) - предимно при имедиатно имплантиране, но също и в първично обеззъбени участъци. Ултразвуковите трептения определено оказват стимулиращ ефект върху костната тъкан; ускоряват обмяната, разкъсват кръвоносните съдове и донякъде чисто механично масажират и стимулират тъканите. Всичко това силно ускорява оздравителния процес. По-важното в случая е друго - посоката на отнемане на минеразилирана тъкан може да се насочва много по-прецизно с пиезотом, особено с неговите накрайници за поставяне на импланти. По този начин се прецизира позиционирането на вътрекостния винт след екстракция на многокоренови зъби - отнема се интеррадикуларната преграда (септа) между медиалния и дисталния корен на долните кътни зъби и имплантът застава точно в средата на костния дефект. Същото е положението след екстракция на горни молари - там обаче пилотната фреза се приплъзва най-вече в палатиналната алвеола, тъй като тя има най-голяма дълбочина и диаметър. Само по себе си това не представлява толкова неприятно усложнение - при неправилно позициониране на импланта след приключване на оздравителния процес може да се наложи изработката на корона с прекалено голям екватор, която сравнително често се разциментира. Единствено при по-малък имплантатен размер натоварването е добре да бъде ориентирано строго по надлъжната ос на вътрекостната част на импланта; при по-големите размери това може да се извършва дори и под много голям ъгъл, от порядъка на 45 - 50 градуса. В дългосрочен план косото натоварване може да доведе до известна костна резорбция в областта на имплантатната шийка, което представлява усложнение при лечението с импланти.

Добър ефект има и калиброването на разпробития отвор с ербиев лазер. Лъчението от този източник е възможно да се концентрира и да се насочи точно в една определена точка - също както ултразвуковите трептения на пиезотома, но тук прецизността е дори още по-голяма. С ербиев лазер е възможно да се разпробие и първоначалният отвор, без пилотна фреза. Също така добре се коригират септи, екзостози и неправилни костни дефекти вътре в самата алвеола, както и се променя посоката на разпробиване и калибровка. Лазерното лъчение има още по-стимулиращ ефект по отношение на костния метаболизъм от ултразвука, което определено представлява предимство. При изпиляване на твърди зъбни тъкани с лазер се получава свежа, порьозна и грапава емайлова или дентинова повърхност - което осигурява изключителна здравина на връзката със свързващата система (бонд). Лазерът бързо изпарява зъбните тъкани, а обилното охлаждане отмива отпилките и некротичните материи; тази закономерност е още по-силно изразена при костните тъкани, тъй като те са с доста по-слаба минерализация и са доста по-порьозни от емайла и дентина. Дори самото докосване на костта от лазерния лъч води до нейното отнемане и до отварянето на лумена на кръвоносните съдове - което създава идеална основа за имплантиране на чуждото тяло и неговата остеоинтеграция. Технически трудна е окончателната калибровка на отвора - за нея незаменим си остава ротационният инструмент, който осигурява максимално плътен контакт между имплантатната повърхност и костта. Това обаче е валидно предимно за зъбни импланти, които подлежат на имедиатно натоварване; при отсрочено натоварване препарацията се извършва единствено според предпочитанията на оператора, но постоперативните резултати от лазера и пиезотома определено са доста по-добри. Вторичната стабилност настъпва доста по-бързо при работа с ербиев лазер, като причините за това са компексни - поради което и лазерите навлизат все повече в клиничната практика по цял свят.

Схема на поставяне на имплант от серията CMI на компанията Neobiotech. Като съкращение CMI означава cortical - medial - inferior fixation. В превод от английски език това означава кортикална - средна - апикална фиксация (или фиксация в долната, начална или върхова част на импланта). Описани са различни типове фиксация, но принципите за това са общо взето едни и същи при всички имплантатни системи - необходима е добра първична стабилност, поне в една от трите области, след което да се изгради нов костен обем в останалите две. В този случай компанията Neobiotech използва не особено адекватна рекламна стратегия - създава съкращение за трите типа фиксация, което обаче не е уникално за нейните импланти, а при правилно проведено лечение би трябвало да е налично при всеки един остеоинтегриран зъбен имплант. Освен това на видеоклипа е показан имплант, който се поставя бикортикално - с фиксация в областта на алвеоларния гребен и на пода на максиларния синус. Логично и закономерно това може да се случи само в страничната област на горната челюст - само там има корелация с максиларния синус, докато в другите анатомични области това е невъзможно. Особено в страничната област на долната челюст да се говори за бикортикална фиксация е безпредметно, тъй като за нейното постигане имплантът трябва да премине през съдово - нервния сноп на мандибулата с всички негативни последици от това. Въпросната бикортикална фиксация (в две кортикални пластинки) обаче е изключително стабилна - поради което и при поставянето на базални импланти винаги има стремеж да се осигури завинтване в две кортикални пластинки. Много често изтръпването на долната устна се игнорира от денталните лекари, които поставят базални импланти - единствено с цел да се осигури стабилната бикортикална фиксация на вътрекостната част, като последиците от подобно решение се понасят единствено от пациента.

При минимално повдигане на синусовия под (от порядъка на 2 или 3 милиметра) най-добри резултати се получават при трепанация с така наречения S-reamer - фреза с форма на латинската буква S, също показана на горния видеоклип. Тя пробива костната пластинка, но не разкъсва синусовата лигавица - тъй като нейните режещи ръбове се запълват с костни отпилки. Същевременно тази фреза създава един добре калиброван отвор, който съответства на имплантатния диаметър и именно това осигурява допълнителната фиксация в краниалната кортикална костна пластинка - описаната вече бикортикална фиксация. Тя липсва при вертикален синуслифт с чук и длето, което се е практикувало широко като оперативен метод през 90-те години на ХХ век. От друга страна повдигането на синуса с чук и длето има други предимства - изключително често при трепанацията се повдига не само синусната лигавица, но и част от кортикалната костна пластинка, което прави формирането на нова костна тъкан изключително бързо и безпроблемно. При такова оперативно поле костният дефект е ограничен краниално и каудално между две пластинки и оздравява по механизма, по който заздравяват костните фрактури. Липсва обаче бикортикалната фиксация - както вече беше споменато, идеално щастие няма. В специализирната литература обаче не се откриват данни за повишена честота на провалите при бикортикална фиксация или при повдигане с чук и длето; очевидно двата оперативни метода си имат своите предимства и недостатъци, но те са без особено клинично значение за постигането на крайния резултат.

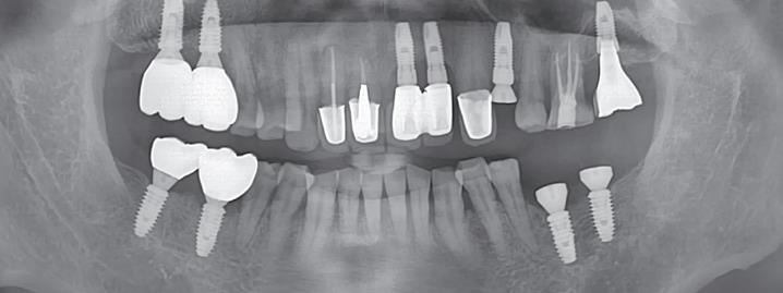
Следва да се обърне и специално внимание на лечението на усложненията и вторичните заболявания, предизвикани от зъбните импланти. В кръга на шегата по време на лекции и презентации различни специалисти говорят за лечение на лечението и за заболяване на лечебното средство - което в медицината се среща сравнително рядко, но е описано и в някои други области и медицински специалности. Изкуствените сърдечни клапи например са по-податливи към развитието на инфекциозен ендокардит в сравнение с естествените; остеосинтезните пластини могат да предизвикат костна резорбция, а протезите на крайниците - травматични невриноми. Така например на горната рентгенография се открива безпроблемна остеоинтеграция на всички зъбни импланти, но около имплантатната шийка в областта на 21 и 22 е налице костна резорбция - периимплантит. Принципно такива околошиечни костни джобове могат да не създават проблеми години наред, но понякога възпалението бързо се обостря и това принуждава пациента да търси медицинска помощ.

В заключение трябва да се отбележи че лечението с импланти е една доста обширна тема, която изисква сериозна теоритична подготовка, а също и постоянно натрупване на клиничен опит. Някои специалности от областта на денталната медицина обхващат по-малък обем от информация и изискват като цяло по-малко клиничен опит, докато имплантологията включва области от оралната хирургия, зъбопротезирането и дори лицево - челюстната хирургия. Всичко това прави имплантологията интересна и предизвикателна за всеки млад специалист, който има желанието да учи и да се развива. Не са за пренебрегване и рисковете, свързани с всяко едно лечение с импланти - някои от тях водят до обратими и лесни за корекция увреждания, но други могат да станат причина дори за средна телесна повреда - за което се носи и наказателна отговорност. От друга страна, в имплантологията почти не съществуват опасни и животозастрашаващи усложнения и като цяло спешните състояния са изключение - като обем на риска и опасност на усложненията тя не може да се сравнява с най-тежките медицински специалности като неврохирургия, кардиохирургия, коремна хирургия и ортопедия и травматология. Всички тези закономерности следва да се познават от начинаещите специалисти и стажанти и всеки от тях може да избере съответния рисков профил в зависимост от своята готовността да полага усилия и да преживява безсънни нощи.